
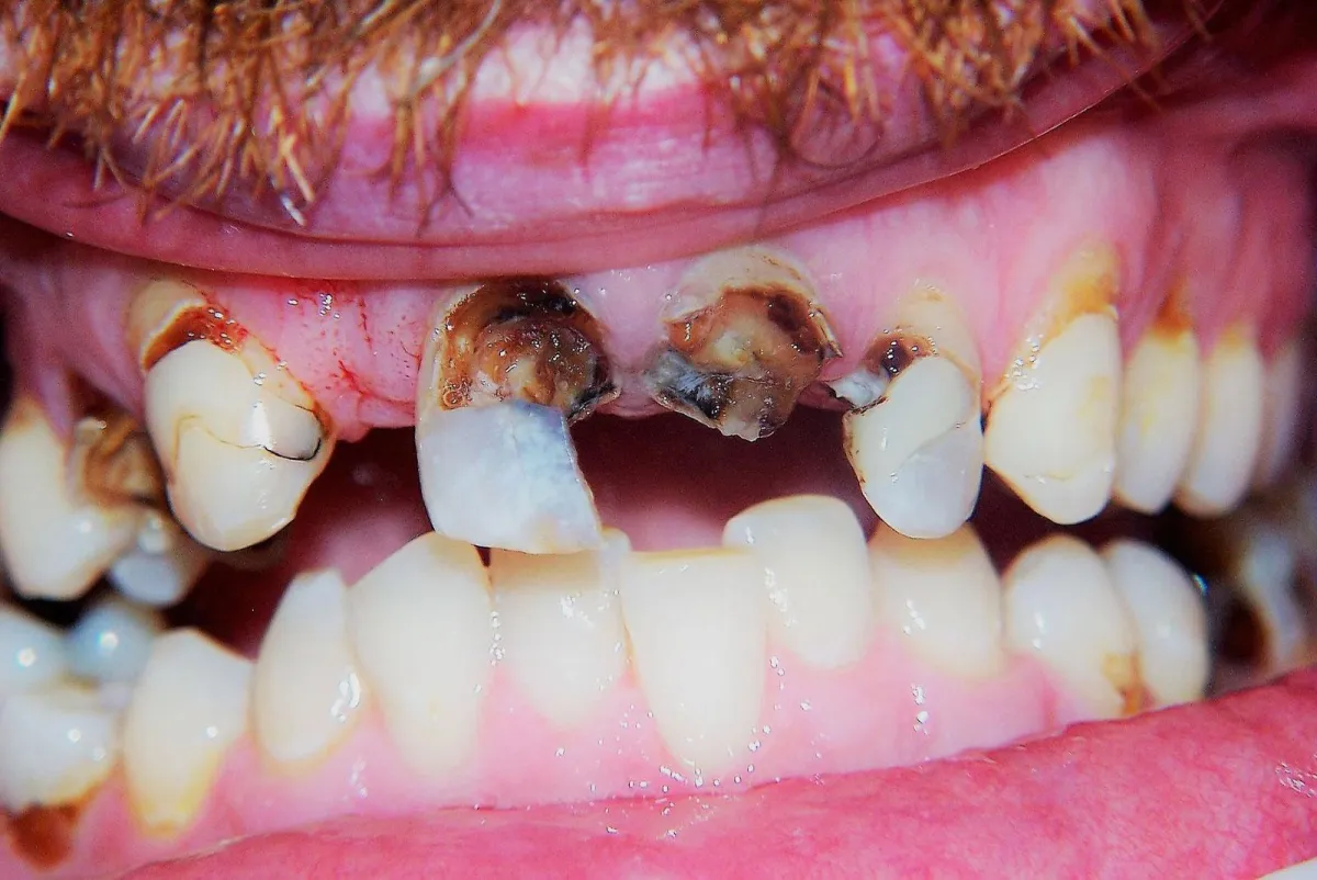
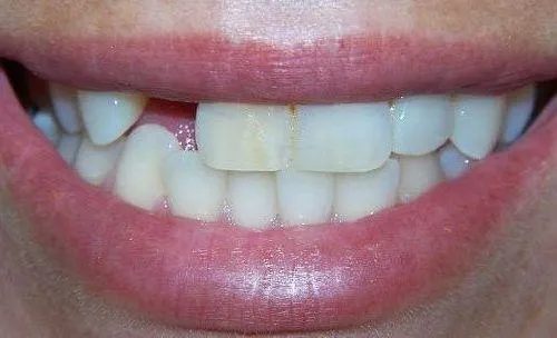
BEFORE

AFTER

BEFORE

AFTER

BEFORE

AFTER

BEFORE

AFTER

Regular cleanings and exams are essential to maintaining good oral health. Our team will work with you to develop a personalized plan for keeping your teeth and gums healthy.
If you have a cavity, our dentists will remove the decayed portion of the tooth and fill it with a material that will restore its shape, function, and appearance.
With crowns and bridges, we can restore function and appearance to missing or damaged teeth. Crowns work like caps to restore shape, size, and strength to damaged teeth. Bridges replace one or more missing teeth by attaching to natural teeth or implants on either side.
In some cases, a tooth may need to be removed. Our doctors will make sure that you are comfortable and informed throughout the extraction process.
We offer full mouth rehabilitation, a comprehensive treatment plan that addresses all aspects of a patient's oral health and leaves them with healthy smiles. Our team of experts will develop a treatment plan tailored to your needs and goals.
Missing teeth can be frustrating, impacting your ability to speak, eat, and smile with confidence. At Dental Arts, we offer full and partial dentures, custom-made to fit your mouth, and designed to look and function like natural teeth.
A root canal is a treatment used to save a tooth that has been infected or is in danger of becoming infected. The procedure involves.
Removing the infected or damaged pulp
Cleaning the inside of the tooth
Filling it with a medicated material
• Removing the infected or damaged pulp
• Cleaning the inside of the tooth
• Filling it with a medicated material
Our team provides kid-friendly dentistry services, designed to make dental care fun and gentle for children. From cleanings and exams to fluoride treatments and sealants, we'll help your child maintain optimal oral health.
At Dental Arts, we offer a wide range of cosmetic dentistry services to give our patients the smile they've always wanted. From teeth whitening to veneers and more, we can help you achieve a beautiful and natural-looking smile.
TOP REASONS TO CHOOSE
Dr. Michaelsen
And His Team For Your
Implant Needs
Credentialed and Highly Experienced
Use of Cone Beam and 3D Scans for Best Possible Treatment Plan
Accessibility to Surgeon and Doctor Anytime After Surgery
Surgical and Restorative Phase Complete in the Same Office
High Quality Comprehensive Care

Immediately after receiving his Doctor of Dental Surgery degree, Dr. Michaelsen began his private practice in Catoosa where he plans to enjoy a long career serving and caring for the dental needs of Catoosa and the surrounding communities.

Dr. Shuck is married to Chloe Shuck, and they have two beautiful dogs, Forest and Scout. When he is not in the office, his hobbies include; running, tennis, pickleball, video games, and eating.
Dr. Shuck has had a passion for dentistry since elementary school. He enjoys getting to know his patients and building trusting relationships in order to provide the best dental care possible. He enjoys learning about new advancements in dentistry to provide up-to-date care. Dr. Shuck is excited to be back in Oklahoma and provide care and oral health education to the Dental Arts family.

Immediately after receiving his Doctor of Dental Surgery degree, Dr. Michaelsen began his private practice in Catoosa where he plans to enjoy a long career serving and caring for the dental needs of Catoosa and the surrounding communities.

Dr. Shuck is married to Chloe Shuck, and they have two beautiful dogs, Forest and Scout. When he is not in the office, his hobbies include; running, tennis, pickleball, video games, and eating.
Dr. Shuck has had a passion for dentistry since elementary school. He enjoys getting to know his patients and building trusting relationships in order to provide the best dental care possible. He enjoys learning about new advancements in dentistry to provide up-to-date care. Dr. Shuck is excited to be back in Oklahoma and provide care and oral health education to the Dental Arts family.

Lala and my dentist and Darcy were amazing and professional. Took great extra care of me and dealing with my anxiety. They made me as comfortable as possible and I really appreciate it. Will definitely be back.
They are my kind of people. Kind, caring and just awesome all the way around. My new crown is perfect and Dr Shuck and Larisa took such good care of me. The office staff are great and Draci is a wonderful dental hygienist. My new place to go to and would recommend them highly. LaLa you get a 10/10 from me. See you all next time

As I haven't seen a Dentist in over 5+ years the DA of Bixby was a excellent choice. The staff are all friendly and will go that extra mile to ensure that you are comfortable. The young man who did my xrays explained everything he was doing. The dental hygienists made sure I understood all that she would be doing to help me get back to having a smile I would be proud of. Dr. Shuck was very personable and I have to say for a Dentist he was nice..(just joking). He made sure through out the procedure my comfort level and administering pain medication as needed. The office manager was so helpful and explained in detail the charges and she went above and beyond putting together a plan that helped me in financing my treatments. I would recommend my family and friends if they need any dental work this office is the place to go too for any dental treatment they need.
Dr. Shuck, Darci, and the entire team are incredible! They truly care about you and your health. They went above and beyond to provide the highest quality service, explain the process, and make me comfortable.

HIGHLY RECOMMEND!! I’ve been to several different dental offices in the bixby area over the last several months, and this one definitely exceeded my expectations! They are professional, thorough, time efficient, caring, take time to educate me on what’s going on in my mouth and have awesome financial options available so I can get the treatment done that I need. Dr. Shuck is a very down to earth guy and he took the time to get to know me before even talking to me about my teeth, which I really appreciate. Darci the hygienist is very sweet and helpful. She did an amazing job cleaning my teeth and was very thorough. I like going to a smaller dental practice knowing I get to see the same people every time I go. Everyone is so nice and helpful from front to the back. They are a lot of fun too! Lots of laughs. I have found my new dental home and no longer need to look elsewhere! Thank you for taking such great care of me Dental Arts of Bixby!

Awesome all around experience. Super friendly staff. Very skilled and honest. All exceptional in their skills. The finance office is fully transparent and willing to help find financial assistance. I used to hate going to the dentist before. Life time patient.


Experienced and
Caring Team
Our team of dentists and staff is led by Dr. Soren Michaelsen, who has a deep commitment to providing the highest quality of care to his patients. We pride ourselves on our experience and our ability to provide personalized, compassionate care to each of our patients.
Affordable Options
For patients without insurance, we offer our Dental Arts Family Plan, with an annual fee of $299 per individual. We also offer a special $99 deal on preventative care for new patients.
Advanced Technology
and Equipment
We use the latest technology and equipment to provide our patients with the most effective treatment options. This includes digital x-rays, which use less radiation than traditional x-rays, and a variety of other tools that help us provide more accurate and efficient care.
General dentistry focuses on maintaining your overall oral health. This includes routine cleanings, exams, fillings, gum care, and preventive treatments to keep your smile healthy.
We recommend visiting every 6 months for a cleaning and check-up. Some patients may need more frequent visits depending on their oral health.
Cleanings are generally not painful. Our team works gently and carefully. If your gums are sensitive, we can offer numbing gel or comfort options to make the experience more relaxing.
A persistent toothache is a sign that something needs attention. Call our office as soon as possible so we can diagnose the cause and provide relief..
Yes, we welcome new patients from Catoosa and surrounding areas. We look forward to helping you achieve a healthy and confident smile.
We work with most major dental insurance plans. Our team will help verify coverage and explain your benefits clearly before treatment.
No problem. We offer affordable payment options and can discuss flexible plans to fit your budget.
Good brushing and flossing habits, regular cleanings, and reducing sugary snacks can help prevent cavities. We also offer fluoride treatments and dental sealants for added protection.
We recommend children begin dental visits around age 1 or when the first tooth appears. Early care helps build strong, healthy habits.
We check your teeth, gums, and oral tissues, take any needed X-rays, and thoroughly clean and polish your teeth. Our goal is to keep your smile bright, fresh, and healthy.
We understand how important it is to be able to restore your dental health and your confidence with a long-term solution. That’s why we offer third-party financing options and work with you on payment plans to fit your budget.
Single Implant Replaced
for as little as
$97/mo*
Implant Retained Dentures
for
$247/mo*
Full Fixed Arch
as low as
$347/mo*
*Subject to Credit Approval
At your consultation, we can review all the options available to you.
There are many reasons why Dental Implants are a great option for patients who are missing teeth, and our team is here to help. We are experts in All-on-4 Dental Implants, which is a prosthesis that is supported by four surgically placed Dental Implants. This is an excellent alternative to single implants, because it gives you a full set of teeth without the need for a separate implant for each tooth. All on four implants are also a quick option because they can typically be placed the same day that your decayed teeth are extracted, minimizing your recovery time. Talk to our cosmetic dentists to see if you are a candidate for All on Four Dental Implants!
Looking for a Dentist in
Bixby, OK?
At Dental Arts, we have put in a great deal of thought and effort into creating an enjoyable patient experience.
Our staff will make sure that you have everything you need for a very pleasant visit.